Equipo experto con más de 25 años de experiencia
Nuestros dentistas se especializan en odontología restaurativa y estética, garantizando que tus incrustaciones y sobrecubiertas dentales sean precisas, duraderas y de apariencia natural.
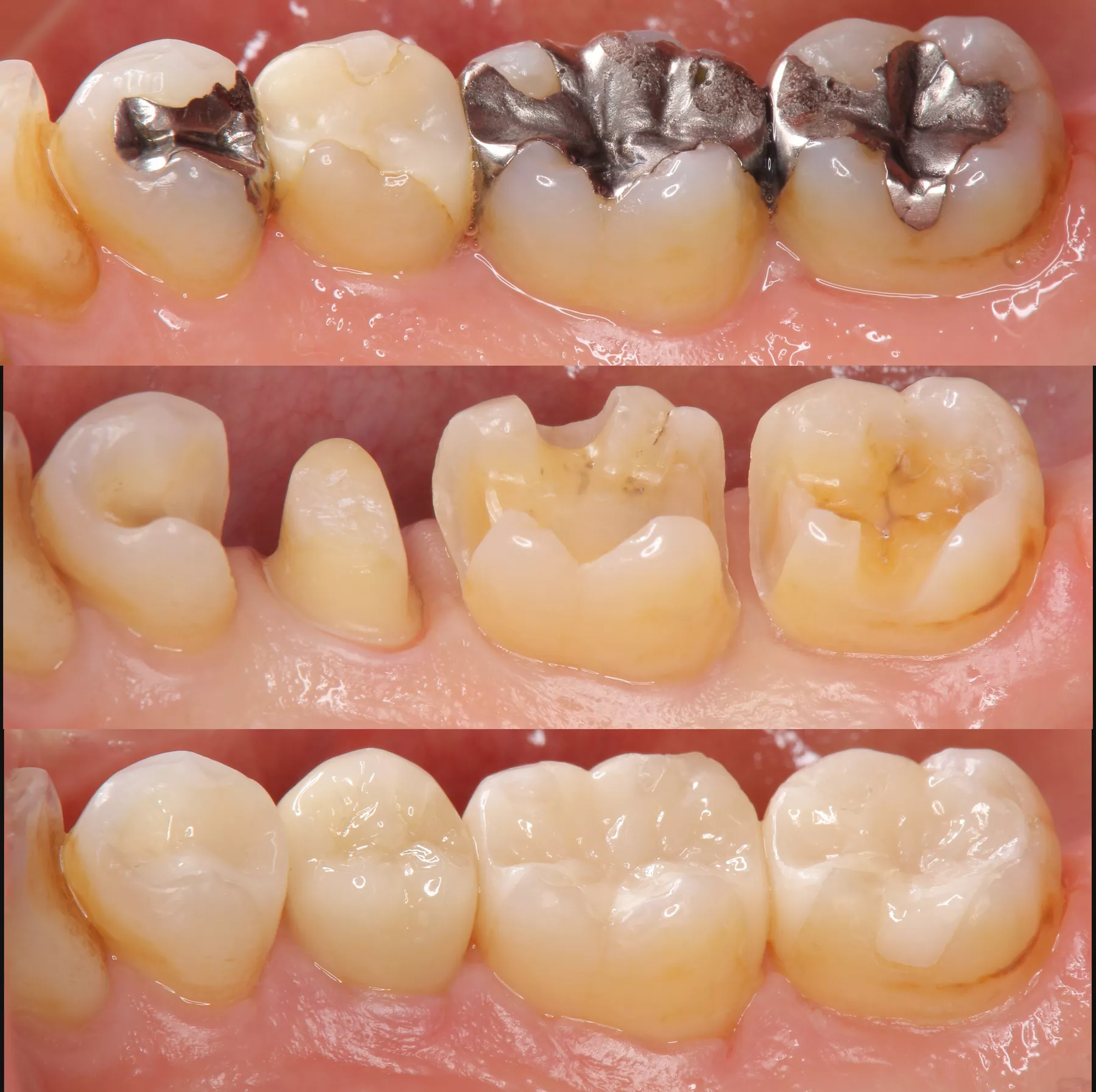
Técnicas y materiales avanzados
El uso de impresiones digitales junto con porcelana, zirconia o composite de la más alta calidad asegura un ajuste perfecto que perdura.
Ahorro de hasta un 70%
Disfruta de una atención de primer nivel a una fracción de los precios en EE. UU.
Tratamiento rápido en dos visitas
La mayoría de las incrustaciones y sobrecubiertas dentales se completan en menos de una semana, dejándote mucho tiempo para disfrutar de Cancún.
Ambiente acogedor y relajado
Te acompañamos en cada paso, asegurándonos de que te sientas cómodo y seguro.

















